91直播

您当前所在位置: 91直播 > 专题专栏 > 健康科普 > 口腔健康科普 > 正文

老年人缺牙的几大“杀手”

日期:2023-09-15       作者:杨鹏德、钟锟       来源:口腔综合急诊科       编辑:唐玲

俗话说:“牙齿健康,吃嘛嘛香”,拥有一口好牙,才能轻松咀嚼美食。世界卫生组织于2001年提出“8020计划”,即人到80岁时,应该还有20颗健康牙齿。然而,我国大部分老年人是没有达到这一目标的,缺牙现象很普遍。

大家常说“老掉牙”是件很正常的事,但其实这是错误的认知。如果从年轻时就注重口腔健康的话,老了是不会轻易掉牙的。那么,老年人掉牙的常见原因都有哪些呢?又该如何预防?

牙周炎

牙周炎是牙齿周围组织的炎症,它会导致牙齿周围组织红肿、易出血,长期的炎症反应还会破坏和吸收牙槽骨,是成年人牙齿松动甚至脱落的首要原因。

牙周炎就如同树根周围土壤水土流失,以至于树木无法固定在地上一样。牙周炎的主要病因是细菌以及牙结石,良好的口腔卫生习惯、定期洁牙(洗牙)可有效预防牙周炎。

那么,如果患上牙周炎是不是就没救了?不是的,牙周病是一个慢性疾病,根据病情可分为轻、中、重,如果去医院及时治疗是可以控制住的。

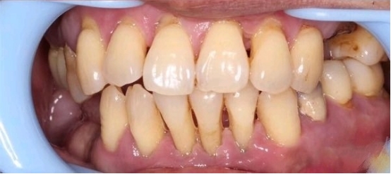
重度牙周炎的示意图

牙周病导致牙龈萎缩、牙根暴露,甚至牙齿松动

经过牙周治疗以后,牙周炎得以控制

龋病

龋病是在以细菌为主的多种因素影响下,牙齿硬组织发生的一种慢性破坏性疾病,也就是老百姓常说的虫牙。细菌对牙面上糖类的发酵产物可破坏牙齿硬组织,当严重到已经无法修复时,就不得不拔除患牙,导致缺牙。

老年人尤其爱发生根面龋。因此,要想预防龋病,需要掌握正确的口腔清洁方式,如采用巴氏刷牙法,早晚认真刷牙,饭后漱口;少吃含糖量较高的黏性食物;另外氟化物对牙齿也有一定地防龋作用,可以适当使用含氟牙膏、定期涂氟等措施预防龋齿。

对于已经患龋的患者,需要尽早看医生,尽早干预,避免病情进一步发展。

严重的龋坏将牙冠完全腐蚀后无法修复,只能拔除

根尖周病

根尖周病是牙齿根尖周围组织的一种炎症性疾病,可以是细菌感染,也可以是创伤、牙隐裂等问题导致,严重的根尖周病可大量吸收破坏牙齿根尖周围的骨组织,导致患牙无法固定在牙槽骨里而松动。

未及时治疗的龋病、牙髓病,细菌可沿根管内感染到根尖,因此为了有效防止根尖周病,对于龋齿、牙髓炎等疾病需要尽早治疗,避免炎症发展至根尖。

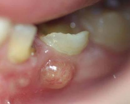
根尖周炎导致的牙龈“鼓包”

根尖片上显示严重的根尖周炎,可能导致牙齿无法保留

牙隐裂、牙齿非龋性破坏疾病

牙齿牙尖过尖、咬合过紧、牙齿发育不良等可导致牙齿出现裂纹,另外有的人习惯长期咀嚼硬物,甚至牙齿开啤酒盖等习惯,也可导致牙齿隐裂或缺损,严重的牙齿隐裂或缺损可致牙齿劈开且无法保留,导致缺牙。牙齿磨耗和楔状缺损也是导致老年人牙体和牙列缺损的主要原因。

因此,为了预防该类疾病导致缺牙,除了需要破除不良习惯外,更重要的是要养成定期检查牙齿的习惯,以便早发现早治疗。

隐裂的牙齿从中间劈裂开导致患牙无法保留

以上就是常见地导致老年人缺牙的几大“杀手”,希望人人重视口腔健康,定期检查保养牙齿。最后,祝大家都能“8020”,吃嘛嘛香。