91直播

您当前所在位置: 91直播 > 专题专栏 > 健康科普 > 口腔健康科普 > 正文

老年人拔牙有风险吗?

日期:2023-09-12       作者:吴亚东       来源:口腔颌面外科       编辑:唐玲

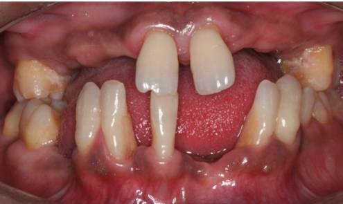
拔牙术是对某些牙病的终末治疗手段,例如龋病(虫牙)、牙周病、牙折裂等疾病常导致老年人口腔出现疼痛、肿胀、咀嚼困难等症状,其引起的各种痛苦迫使老年人拔除患牙。

老年人牙周萎缩,根面暴露,容易发生龋病(虫牙)

老年人牙周病高发,牙周病是导致牙齿松动、脱落的主要原因

牙折裂,导致牙齿疼痛

有些口腔医疗机构会因为老年人年纪大或合并有系统疾病而拒绝给其拔牙。因此,很多老年人和家属也会存在“年纪大了,拔牙安全吗?会不会有什么后遗症?”等等疑问。不可否认,牙拔除术在造成局部软硬组织损伤的同时也可引发不同程度的全身反应,并可能加重全身系统疾病或诱发全身并发症。但平时身体健康且没有严重的系统性疾病的老年人,拔牙还是安全的。对于有系统性疾病的,是不是就不能拔牙?其实只要做好充分地拔牙前评估和准备,大多数有系统性疾病的老年人还是可以耐受拔牙的。

老年人常见的、对拔牙有影响的系统性疾病主要有冠心病、高血压、糖尿病等,因为这些疾病长期使用的一些特殊药物可能会对拔牙造成一定影响。

对于有冠心病的患者,如果心功能尚好,近6个月没有心肌梗死、心绞痛的患者,在医生充分检查和评估后,多数可以拔牙。

冠心病与拔牙

对于高血压的患者,血压控制在180/100mmHg以下,一般可以耐受拔牙。高龄的高血压患者,术前血压最好控制在160/90mmHg以下。

高血压与拔牙

糖尿病患者拔牙术后发生感染的可能性高于正常人,伤口的愈合因蛋白合成障碍可能延迟。拔牙时,空腹血糖控制在8.88mmol/L以内较为安全。

糖尿病与拔牙

治疗陈旧性心肌梗死、冠心病合并高血脂、血液粘滞性高、持续性房颤、或有脑血栓病史的患者多采用抗凝剂降低血液粘滞度、防止血栓形成,以预防复发。因此,对于长期使用抗凝药物的患者,拔牙后可能出血不止,但如果贸然停药,可能会造成比拔牙后出血风险更严重的危害,需要进行凝血状态地评估或提前用其他抗凝药物桥接,待安全拔牙术后次日,创口无活动性出血,可以改为原来的抗凝方案。

目前一些针对老年人骨质疏松、肿瘤骨转移或肿瘤靶向治疗的药物使用日益增多,这类药物会影响骨代谢,可能会导致颌骨坏死,拔牙会加速药物性颌骨坏死地发生。对于长期使用这类药物的患者,拔牙要十分慎重。

总之,大多数老年人是可以耐受拔牙术的。对于有系统性疾病的老年人,在控制好系统性疾病的情况下,也可以安全地实施拔牙手术。相信只要做好充分的思想准备,不过度焦虑和紧张,不隐瞒病情,和医生充分配合,都可以顺利地完成拔牙!

老年人健康的口腔