固定矫治器属于机械性矫治器,由医生将托槽、带环等装置粘接固定在患者牙面上,这些装置可能会妨碍口腔卫生的清洁与维护,牙齿唇、颊面处食物残渣、软垢易于滞留,自洁能力下降。同时口腔微生态环境发生变化,使菌斑更易积聚在托槽周围及牙齿表面。从而出现牙龈炎、牙周炎、牙釉质脱矿等并发症,继而损害患者的牙体和牙周健康。
一、那什么是牙釉质脱矿,我们该怎么预防和治疗呢?
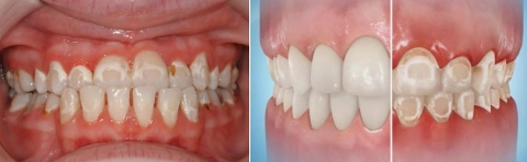
牙釉质脱矿(enamel demineralization)是正畸固定矫治的常见并发症,由于矫治患者在矫治过程中因忽视了口腔卫生维护,加之不良的饮食习惯,在牙齿的唇(颊)面呈现形态不规则的白垩色不透明的斑点或斑块,龋白斑(white spot lesion,WSL)即早期的釉质脱矿,该种现象不可逆,不仅影响患者的美观,危害牙体健康,严重者甚至需要拆除矫治器中止正畸治疗。
大部分患者WSL程度较轻,个别口腔卫生欠佳或龋易感患者WSL进展较快或较严重,这与患者的口腔卫生习惯和医生的宣教力度密不可分。所以,对正畸患者而言,预防是成为避免釉质脱矿和牙龈炎出现的关键,接下来将介绍在正畸治疗中的口腔卫生保健措施。

口腔卫生保健措施
包括:刷牙、牙间隙刷的使用,牙线的使用,冲牙器,洁牙和结合氟化物的使用等。
01 刷牙
戴有托槽面:
牙颈部:刷毛朝向牙颈部,并与牙面呈45°,轻轻加压,使一部分刷毛进入龈沟内,水平短距离颤动4~5次。
牙颈部方向托槽:刷完牙颈部后,使刷毛转向咬合面,并与牙面呈45°,尽可能将刷毛伸进托槽与弓丝的部位,水平短距离颤动4~5次。
切端(咬合面)托槽面:刷毛朝向牙颈部方向,使刷毛与托槽呈45°,水平短距离颤动4~5次。
未戴托槽面:后牙内侧面:按照Bass刷牙法正常刷牙,即将刷头放于舌面牙颈部,毛束与牙面成45°角,毛端向着根尖方向,轻轻加压,牙刷在原位水平颤动4~5次,然后向牙冠方向轻轻拂刷。
后牙咬合面、前牙内侧面:后牙咬合面:以三颗牙为单位,作水平的颤动4~5次,牙刷移动仅约1mm;前牙内侧面:将牙刷头竖起,以刷头的前部接触近龈缘的牙面,作上下颤动。
02 牙间隙刷的使用
03 牙线的使用
钢丝与托槽粘接牙面部分,可将牙间隙刷从弓丝下方伸入两牙之间,上下提拉式刷动,刷去托槽周围的牙菌斑。同时页可以配合牙线等的使用。

04 冲牙器的使用
冲牙器的使用也只能作为辅助方法而不能代替刷牙的机械清除作用。
05 洁牙
定期洁牙(常规1~2次/年,口腔卫生差者可增加次数)可以帮助患者更有效地去除菌斑牙石,维护口腔健康。

06 氟化物的使用
氟化物在预防和治疗早期牙釉质脱矿上十分重要。临床上经常使用的含氟制剂包括含氟牙膏、泡沫、凝胶、清漆、0.05%氟化钠(APF)漱口液、释氟玻璃离子树脂等,其中含氟清漆因其持续的释氟能力以及可在牙表面形成防护膜的优势,对釉质脱矿具有较好的防治效果。

07 其他材料
渗透树脂、含酪蛋白磷酸肽-无定型磷酸钙(CPP-ACP)的材料等。
固定矫治患者在固定矫治过程中,对于釉质脱矿及其他牙周的并发症要做到预防为主,只有做到预防为主,防治结合的原则,才能在最大限度上缓解正畸治疗中出现不良问题,有利于正畸患者牙齿的健康和稳定,提高矫治的整体水平和最终效果。