什么是洁牙
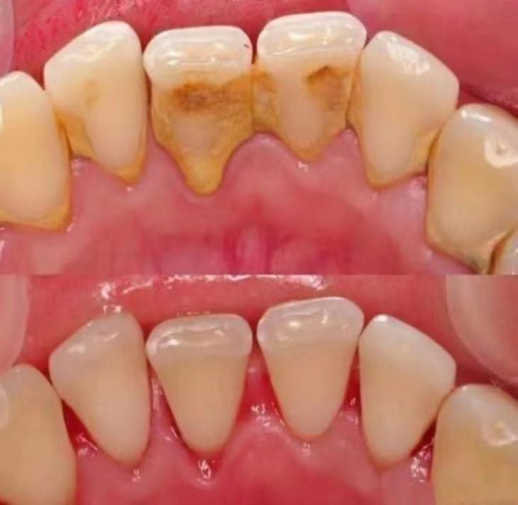
洁牙,俗称洗牙,专业术语龈上洁治术,是指用洁治器械去除牙龈上牙石、菌斑和色渍,并抛光牙面,以延迟菌斑和牙石再沉积。
大多数人认为只要认真刷牙就好了,为什么还要定期洁牙呢?虽然你每天都认真刷牙,但牙齿上沉积的牙垢 、牙菌斑和牙结石,依靠普通的刷牙漱口是清理不干净的。
牙结石是怎么形成的
牙菌斑是牙周病的元凶,在除去之后还会不断地在牙面重新形成。菌斑清除不到位,加上唾液中的矿物盐逐渐沉积,日久天长就会形成牙结石。而牙结石的存在使得菌斑与组织表面紧密接触,引起牙周组织的炎症反应。
此外,牙结石的多孔结构也容易吸收大量的细菌毒素,并且牙结石还会妨碍刷牙。长时间不清除,可能引起牙龈炎、牙周炎、出现牙龈出血、口臭,最终引起牙齿松动,甚至脱落等现象。
洗牙主要有以下几种好处
1. 有效去除牙菌斑、牙结石
牙菌斑和牙结石是引起牙龈炎、牙周炎、龋病的重要因素。若能有效去除菌斑和结石,可有效预防牙周疾病和龋病,从而能较好地保护牙齿。
2. 改善口气
口腔异味与口腔卫生有关,洗牙能保持良好的口腔卫生,去除牙菌斑、牙结石,使口气能得到有效改善。在一定程度上也能使人更自信,社会交往更从容。
洁牙常见洁牙误区
1. 洁牙对牙齿有损害
专业的洁牙对牙齿是没有损害的。正常的牙齿表面是一层牙釉质,硬度非常高。我们常用的超声波洁牙是利用超声波的震动击碎牙齿表面的牙菌斑、牙结石、色素,并同时用雾化状的水流把击碎屑冲洗掉,所以洗牙一般不会对牙齿造成损伤。


2. 洁牙会导致牙缝变大
很多人觉得洁牙后牙缝变大甚至牙齿松动。其实是因为牙石的堆积、牙龈的炎症会导致牙龈的局部肿胀填塞牙缝,而洁牙后去除了牙石,牙龈肿胀逐渐消退,所以牙缝就变得明显了。


3. 洁牙会导致牙齿敏感
通过洁牙去除牙石后,牙齿暴露在久违的外界环境内,会产生种种异样的感觉。如果是健康的牙齿,这种敏感症状通常在洁牙后一到两周内会逐渐消失。
4. 洁牙会使牙齿变白
洗牙没有美白牙齿的效果,但通过洗牙可以让牙齿恢复原有的颜色。洗牙主要是去除牙菌斑和牙结石,在洗牙的过程中可以将牙齿上留存的烟斑、牙垢、色渍清洗掉,牙齿就不会看起来很黄。想要让牙齿达到美白的效果,可以考虑到医院做专业美白和瓷贴面修复的方法。
洁牙后的注意事项
1. 刚洗完牙后,应注意不要用力吮吸或用舌头舔舐牙龈,也不要用手指触摸牙龈,以防造成牙龈出血。
2. 洗牙后2周内,应注意避免冷、热、酸、甜等刺激,尽量少吃或不吃过硬的食物。因为洗牙后,牙齿会变得有些敏感,当受到冷、热、酸、甜等刺激时,容易引起酸痛不适,但是,这种不适一般在短时间内就会消失。如果酸痛症状一直存在,可考虑使用抗敏感牙膏,来帮助缓解。
3. 洗牙后2周内,应注意避免吃颜色较重的食物,比如咖啡、酱油、可乐等。因为刚洗完的牙齿,非常容易产生外源性着色。
4. 洗牙后,应注意保持良好口腔卫生。需每天早晚坚持刷牙,并使用牙线、牙间隙刷、冲牙器等工具清洁牙齿邻面,以防菌斑、牙石和色素在牙齿上不断沉积。
5. 洁牙后牙缝等不易刷干净的部位会再粘附菌斑、长牙石建议每半年到一年做一次口腔检查和洁牙。

