91直播

您当前所在位置: 91直播 > 专题专栏 > 健康科普 > 口腔健康科普 > 正文

口腔修复种植科到底是做什么的?看完这篇文章,

不再担心挂错号!

日期:2022-07-08       来源:口腔修复种植科 石飞、熊思永


临床工作中常有患者挂了口腔修复种植科的号却是咨询其他口腔疾病的情况。口腔修复种植科到底是处理哪些口腔问题的呢?接下来就给大家科普一下口腔修复种植科的主要工作内容让大家不再挂错号

什么是修复?

口腔修复俗称镶牙主要针对牙齿缺损、牙齿缺失后的治疗工作,可以通过口腔修复治疗的疾病可以分为六大类:牙体缺损、牙列缺损、牙列缺失、牙周病辅助治疗、颞下颌关节病和颌面缺损,前三类是口腔修复种植科治疗中的常见疾病

1. 牙体缺损的修复治疗

牙体缺损:是牙体硬组织受到不同程度的外形和结构的破坏、缺损,造成了牙体形态、咬合和邻接关系的异常。

当牙体缺损的时候,应该怎样处理呢?

嵌体:嵌入牙冠内的修复体

左图:针对于后牙缺损的患者 右图:嵌体修复前后对比

全冠:覆盖全部牙冠的修复体

(全冠前后对比)

桩核冠:利用插入根管内的桩来固位

(纤维桩+全瓷冠修复前后对比)

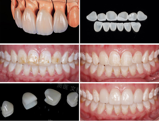
贴面:以瓷或者树脂制作的覆盖牙齿唇颊侧的修复体。贴面不仅可以解决牙齿少量缺损的问题,也可以解决前牙牙缝大、氟斑牙等影响美观的牙齿。

(氟斑牙做贴面前后对比)

(牙缝过大做贴面前后对比)

(前牙缺损做贴面前后对比)

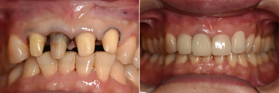
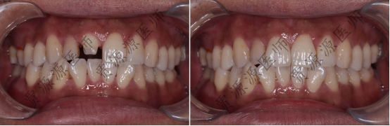
  2. 牙列缺损的修复治疗

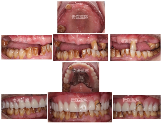
  牙列缺损:在上颌或者下颌有数量不等的牙缺失,同时仍余留不同数目的天然牙。

当牙列缺损的时候,我们又该怎么处理呢?

  固定桥修复:借助邻牙,相当于三个人的工作分担到两个人的身上,这种方式是固定的,不需要每日取戴。

可摘局部义齿修复(俗称活动假牙):最传统的修复方式,需要每天取戴

(可摘局部义齿前后对比)

种植义齿修复:在缺牙处放入种植体,等36个月种植体和骨头安全长稳固后,再在上面安装牙冠,该方式不需要磨小邻牙,也不需要每日取戴。

(种植义齿前后对比)

3. 牙列缺失的修复方式

牙列缺失:就是咱们常说的牙齿掉光了。是指整个牙弓上不存留任何天然牙或牙根,又称无牙颌

治疗方式:

全口义齿修复:依靠义齿与牙槽嵴之间的吸附力固位需要每日取戴。

(全口义齿前后对比)

种植固定义齿修复:上颌或下颌可以做四到六颗种植体,利用搭桥的方式恢复所有的缺失牙。

种植覆盖义齿修复:用于全颌(半颌)失牙区骨吸收严重,种植2-4颗种植体的无牙颌。由于单纯使用种植体不足以支持固定全口义齿的固位和咀嚼功能,且由于骨组织吸收较多,单纯的牙冠修复不能恢复或者改善颌面外形,需采用树脂基托恢复缺失骨组织及面型的丰满度的种植义齿修复。

 


来源:口腔修复种植科  作者:石飞、熊思永  图片:口腔修复种植科 编辑、排版:姜文文

一审:田艾、董强  二审:唐正龙  三审:宣传科  四审:张军梅