生活中很多朋友被牙齿颜色不美观、形态异常、牙缝大等问题困扰不敢开怀大笑,想要看牙医但又担心磨牙齿,迟迟不能解决问题,那么瓷贴面就是最好的解决方案了!
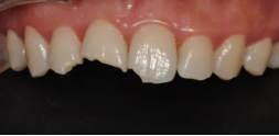
(前牙切角缺损贴面修复过程)
一、什么是瓷贴面?
瓷贴面是在少磨牙或不磨牙的情况下,采用全瓷材料,恢复牙齿的正常形态和色泽的一种修复方法。
二、瓷贴面适用于哪些情况?
1. 牙齿变色:氟斑牙,四环素牙等;
2. 牙齿缺损:牙齿因外伤或嗑瓜子等造成的切角缺损;
3. 牙齿形态不佳:过小牙,畸形牙等;
4. 牙齿排列不整齐,有缝。
三、瓷贴面修复有哪些优势?
1. 磨牙量少:贴面牙齿磨除量在0.5mm之内,不需要打麻药,不影响牙齿的抗力型。
2. 美观、效果逼真:瓷贴面颜色逼真,和天然牙非常接近,能模拟出天然牙的颜色和光泽,非常漂亮。
3. 安全性高:全瓷材料生物安全性高,不会对人体产生危害,安全性高。
四、做贴面时,有哪些材料可以选择?
目前,临床上用到的贴面材料分为两种:全瓷贴面和树脂贴面。树脂贴面价格相对便宜,但光泽较瓷贴面差,后期容易着色,而瓷贴面光泽度好,美观逼真,后期不着色,是目前最常用的贴面材料。
那瓷贴面还有不同种类的材料可选择吗?很多患者经常会遇到诊所医生推荐不同价位的瓷贴面材料。在这里,我们澄清:瓷贴面只有一种类型的材料,那就是焦硅酸锂增强的玻璃陶瓷材料。因此,我们做贴面时只用告诉医生我做瓷贴面就可以了。

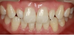
(左图:树脂贴面 右图:瓷贴面)
五、瓷贴面修复的流程有哪些?做瓷贴面后有哪些注意事项呢?
瓷贴面修复流程分为两步:第一次就诊制取模型,选颜色;待贴面制作完成后复诊戴贴面。
瓷贴面修复完成后,我们还要小心呵护我们变美的牙齿,在日常使用过程中需注意:
1. 避免啃硬物。瓷贴面是通过粘接剂和牙齿结合在一起,有脱落的风险,因为我们要注意避免啃硬物。
2. 瓷贴面修复后,应定期复查。瓷贴面修复后建议每年复查一次,做到有问题早发现早处理。
3. 加强口腔卫生护理。建议早晚各刷牙一次,采用巴氏刷牙法,饭后漱口,使用牙线清洁贴面及天然牙。
延伸阅读:
陈河林 修复种植科医师,博士,青年硕士生导师,贵州省高层次人才,本科、硕士和博士均毕业于四川大学华西口腔医学院。主持国家自然科学基金1项,贵州省科技厅项目1项
发表SCI文章2篇,北大中文核心文章1篇。擅长前牙美学修复、冠和嵌体修复、缺失牙种植修复和活动义齿修复
91直播
修复种植科是贵州省修复种植领域实力最雄厚的团队,拥有高级职称医生7人,博士学位人才7人。团队致力于美学修复,在瓷贴面修复方面经验非常丰富。
科室联系电话:0851-88549468
来源 | 口腔修复种植科
作者 | 陈河林、田艾
编辑、排版 | 姜文文
一审 | 董 强
二审 | 唐正龙
三审|宣传科
四审 | 张军梅