91直播

您当前所在位置: 91直播 > 专题专栏 > 健康科普 > 口腔健康科普 > 正文

根管治疗后一定要戴牙冠吗?

日期:2022-04-23       作者:文超举       来源:口腔修复种植科


日常生活中,很多患者朋友因为蛀牙、牙折、磨损、牙隐裂等原因造成牙齿牙髓病及根尖周病,而根管治疗术作为治疗牙髓病及根尖周病的最有效方法,成为医生帮助患者解决疼痛的一大“利器”。根管治疗后,医生一般都会建议做个牙冠。但有很多患者认为“治疗都做完了,牙也不痛了,还要做冠干什么?”,于是抱着侥幸心理,在牙齿没有“防护衣”的情况下,咀嚼各种食物……终有一天,“咔”——牙齿劈裂了。

很多患者朋友会有所疑问,既然根管治疗后的牙齿不疼了,牙齿上面的“洞洞”也被医生用树脂等材料补上了,为什么不做牙冠保护的话,牙齿最终会折裂呢?

 

究其原因,我们还要从根管治疗后牙齿的改变说起:

 

1、牙齿不抗用了

根管治疗后的牙齿失去血管的营养供给,进而导致剩余牙齿组织脆性增加,易劈裂或折断。与此同时,随着年龄的增加,由于牙齿长期行使功能,逐渐出现“应力疲劳”,脆性增加,抗弯曲能力降低。

2、牙齿不抗劲了

因为蛀牙、外伤等因素,根管治疗前的牙齿已经出现结构缺损,强度有不同程度的降低。另外,根管治疗过程中要把牙齿内部的腐质去干净,以及因治疗需求不得不磨除一些正常的牙齿组织,会明显降低牙齿的抗力。所以大部分的牙齿一旦进行根管治疗,则可能不太足够支持咀嚼的力量而可能劈裂或折断如果根管治疗后,只是把“洞洞”补起来,抗力依然不足。

3、牙齿不漂亮了

根管治疗后部分牙齿出现色彩的变化,变黑变暗,无光泽。

 

因此,我们需要用全冠把牙齿保护起来,既漂亮又抗用!那么根管治疗后什么时候可以进行牙冠修复呢?

根管治疗后,牙冠修复越早越好。但是考虑到根管治疗术后的时间、炎症的程度等因素,一般适当观察1-2周,待根管治疗疗效肯定后再行牙冠修复。

 

做牙冠时,应该选择什么材料呢?

临床上牙冠材料很多,常用的有:普通金属烤瓷冠(钴铬合金),贵金属烤瓷冠(金合金),全瓷冠。

 

钴铬合金烤瓷冠:

钴铬合金,作为非贵金属系列合金烤瓷冠的典型代表,在临床应用较为普遍,价格便宜,生物相容性较好,耐腐蚀,适合大多数牙齿的修复。但仍存在一些缺点:透光性较差,颜色美观性不足;瓷层脆性较大,可能发生崩瓷现象;游离金属离子的析出,可能导致牙龈变黑;影响核磁共振的检查...

 

金合金烤瓷冠:

金合金烤瓷冠是贵金属系列烤瓷冠的代表,依据金的含量分为中金(56.7%)、高金(86.7%)两种,是理想的修复材料之一。它克服了钴铬合金烤瓷冠等非贵金属烤瓷冠的缺点,金瓷结合牢固,不易产生崩瓷现象;生物相容性好,不易出现牙龈变黑等现象;几乎不影响核磁共振检查;易加工,能够与基牙边缘结合紧密,避免微缝隙。价格较高,美容性较钴铬合金烤瓷冠高,比全瓷冠低。

 

全瓷冠:

全瓷冠是一种理想的牙齿修复材料,不含金属,全部由瓷材料制作而成。全瓷冠可以模拟天然牙的形态、颜色和半透明性等美学特征,美观性能优秀;且强度高,耐久性好,生物相容性好,无需担心核磁共振检查。

 

戴冠后需要注意什么呢?

根管治疗之后的牙齿,除了及时戴上牙冠,也需要我们多加注意,小心呵护。咀嚼进食过程中必须要知道以下注意事项:

1、避免咬硬物。虽然牙齿在根管治疗后基本恢复了咀嚼功能,但是失去了牙髓,牙齿比以前要脆弱很多,尽量避免咬硬物。

2、治疗后牙齿如有疼痛、红肿,及时复诊。牙齿根管治疗,由于根管清理剂等药物的刺激,牙齿会有些许不适感正常情况下,不适感逐渐缓解或消失。戴冠一段时间后,如果牙齿出现疼痛、红肿,及时医院复诊检查针对处理

3、定期复查,提高口腔保健意识。无论是正常牙齿还是带冠后的牙齿,建议每年行常规检查,防患于未然。

4加强口腔卫生护理早晚刷牙,饭后漱口,养成良好的卫生习惯。必要时使用牙线、牙间隙刷、冲牙器等加强清洁。

 

延伸阅读:


文超举 主治医师,硕士,毕业于吉林大学口腔医学院口腔种植修复专业,中华口腔医学会会员、中华口腔医学会口腔种植学专业委员会会员。参与国家自然科学基金项目一项,参与省级科研项目三项,主持院内科研项目一项。发表国内外核心期刊文章6篇,其中第一作者2篇,SCI 1篇。曾获BITC全国优秀病例1次。长期从事口腔临床一线诊疗,承担本科生及规培生教学工作。

擅长:

1、烤瓷牙、全瓷牙、根管治疗后的冠修复、嵌体修复。

2、口腔单纯种植牙、拔牙后即刻种植、微创种植牙、前牙美学区种植牙、复杂植骨手术的种植牙治疗。

  3、隐形义齿、活动假牙、全口义齿、BPS生物吸附性义齿。

4、变色牙齿的美白治疗(氟斑牙、四环素牙、贴面)。

 

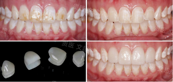
病例一:氟斑牙治疗

 

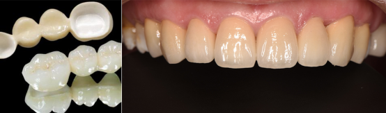
病例二:牙齿缺失种植牙治疗

 

来源 | 口腔修复种植科

作者 | 文超举

编辑、排版 | 姜文文

一审 | 董 强

二审 | 唐正龙

三审 | 宣传科

四审 | 张军梅