91直播

您当前所在位置: 91直播 > 专题专栏 > 健康科普 > 口腔健康科普 > 正文

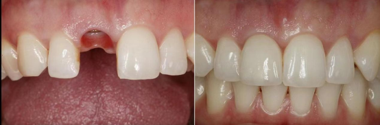
认清种植牙,消除恐惧感!

日期:2022-03-08       作者:任晓青       来源:特诊科


什么是种植牙?

种植义齿就是将纯钛金属的螺丝(一般称做种植体)植入牙槽骨内根据患者失牙后牙槽骨及颌骨的变化,选用合适的种植体植入颌骨内作为人造牙根,起支持固位作用。在其露出口腔内的种植桩上安装牙冠,承担咀嚼作用,获得与自体牙相似的形态及功能。

种植牙与传统假牙比较的优点

  • 1、外形逼真、美观稳定性好可像真牙一样扎根在口腔里。

  • 2、体积小没有大面积塑料基托所导致的味觉迟钝与不舒适感最大限度地减少假牙对发音的影响。咀嚼功能优于传统活动假牙

  • 3、无需磨削缺牙旁边的好牙,最大程度地保护了患者的健康牙齿。

治疗要多长时间

种植治疗一般可分为术前准备、种植体植入手术以及种植义齿修复三个阶段。术前要进行系统的专科检查,如:X线片、抽血化验等。手术一般只需15~30分钟。但若是长期缺牙后再种植,会存在骨吸收、骨缺损,这时手术就会相对复杂一些。常规修复一般在手术后3~6进行。

手术有什么不适

种植牙手术很小在牙椅上局麻下即可完成。术后当天就开,大约7~10天伤口即可愈合拆线。愈合期间可能会有一些不适感,一般只要遵医嘱按医的要求吃药与冰敷,都能将不适感降到最低。

如何维护

为了延长种植牙的寿命,患者应每天进行口腔卫生的维护,仔细刷牙,定期检查。安装牙冠后,分别在一个月,三个月,半年复查,以后每年至少检查一次

种牙后可以做核磁共振吗

植体所用的材质是纯钛,钛是目前所知生物相容性最好的金属,而且是无磁性金属,所以种植体本身对磁共振检查是没有影响的。对磁共振检查有可能造成影响的是种植体上面的假牙,目前常用的种植体假牙修复材料有全瓷和金属烤瓷两大类。全瓷材料为非金属,对磁共振检查没有任何影响,而烤瓷牙则因金属种类的不同对磁共振检查成像有不同程度的干扰所以牙冠修复长远来考虑更推荐使用全瓷修复体。

 

来源 | 特诊科

作者 | 任晓青

编辑 | 姜文文

排版 | 姜文文

一审 | 吴 姗

二审 | 马 洪

三审 | 宣传科

四审 | 张军梅