一、病理检查的意义及微观世界的诞生
经常有患者问,从患者身上取下来的“包块”为什么要送去病理科?简而言之,病理检查是在显微镜下判断“包块”的性质,良性还是恶性,程度如何,与临床治疗密切相关。送检的“包块”,需进一步处理后做成一张厚度为4-6μm的蜡片,此时,组织具有很好的透光性,但没有颜色,不利于细胞及组织形态的观察,因此HE染色法便应运而生。那什么是HE染色法呢?

白色切片(没有颜色)
二、什么是HE染色?
HE染色法,是苏木精—伊红染色法 (hematoxylin-eosin staining,HE) 的简写,是病理检查中最常用的染色方法。其中苏木精染液呈碱性,可以把细胞核内的染色质与胞质内的核酸染成紫蓝色;伊红是酸性染料,可以把细胞质和细胞外基质中的成分染成红色或粉红色。

细胞核和细胞质分别被染成紫蓝色和红色
一张质量好的切片可以清楚地显示不同组织的结构层次,细胞核着蓝色,细胞质着红色……。如果染色不好,红蓝不分,结构层次不清楚,将影响镜下的观察效果,直接影响病理诊断的准确性。因此,HE染色的重要性不言而喻!直接影响染色效果的因素便是染色流程,每一个步骤都很重要,缺一不可!

染色架和染色机
经过近3个小时的处理,一张张原本白色的切片就被染成了“红蓝分明”的有颜色切片了,对比清晰。

白色切片被染色
三、红蓝微观世界的观察
做好的HE染色切片,由病理诊断医生在镜下观察并发出一份准确的病理报告。但由于诊断需要,有的病变还需进一步做特殊检测以进行鉴别。
显微镜下观察HE染色切片
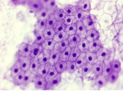
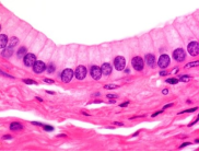
四、微妙的红蓝微观世界
病理诊断医生通过显微镜观察到的“红蓝”微观世界,除了病变以外,也是丰富美丽的。让我们一起来欣赏吧!
来源 | 病理科
作者 | 张艳慧
图片 | 张艳慧
编辑 | 姜文文
排版 | 姜文文
一审 | 胡 赟
二审 | 唐正龙
三审 | 宣传科
四审 | 张军梅