91直播

您当前所在位置: 91直播 > 专题专栏 > 健康科普 > 口腔健康科普 > 正文

牙意外脱落怎么办?

日期:2021-11-19       作者:罗亮       来源:牙周黏膜科       编辑:姜文文


 

  如果你的朋友因为交通、斗殴、骑车、跌打损伤等意外撞击掉出来了怎么办??及时放到牛奶里,火速去医院,还是有很大希望再植回去的!!

 

 

不要惊讶,我们今天诚意满满地为读者献上一个新技能“牙齿完全脱位后的应急救治”

 

什么是牙脱位?

简单来说,受外力猛烈撞击导致牙齿错位甚至脱离牙槽窝的现象一般分为以下4种情况:

如果牙脱位了,但是还在牙槽窝里,有伸长感,牙咬不合拢,叫不完全脱位;

如果牙移位了,牙冠向口腔里面倾斜,叫唇向脱位;

如果牙嵌入牙槽骨里,露了部分牙冠出来,叫嵌入性脱位;

如果一颗牙齿完全地掉出来了,那就是所谓的完全脱位。

 

  那么如在日常生活中,遇到因面部遭受意外撞击导致牙齿脱落的情况要怎么处理呢?黄金原则是 ↓↓

  1、不管什么程度的牙脱位,都要去医院急诊!立刻!马上!

  2、如果牙齿整颗掉出来了,不要放弃,捡起你的牙齿去医院!立刻!马上!

现在最关键的时刻来了!这颗牙,该怎么送到医院去呢?

 

:纸巾擦擦干净然后包好,以光速赶到医院?

:绝对不可以!第一不能用力擦,会破坏牙根周围最宝贵的牙周膜第二,绝对不能干燥保存,会导致牙周膜和牙根脱水坏死那就没救了

 

问:拿在手上?

答:也不行。空气中和手上的细菌多不胜数。

 

问:用生理盐水泡着,带到医院?

答:如果真的那么巧手边有一瓶生理盐水,倒是可以用来冲洗一下被污染的牙齿,然后临时保存。但是,大多情况不会带着生理盐水出门或者手边正好有药店

 

问:正确做法是什么呢

答:比较可操作的做法是↓↓

首先用纯净水温柔地、小心地冲洗下被污染的牙齿(对,万一它就掉到什么沟沟里了呢),不要去刮除那些看起来肉肉的东西,尽可能多的保护好牙周膜,才能使牙周纤维再附着,让牙齿完璧复原
  其次,就近购买一瓶鲜牛奶(注意不是酸奶)将牙齿寄存在内。鲜牛奶通常经过灭菌处理,是临时可能找到的最好的无菌液体介质,能极好地保护牙根和牙周膜;
  如果连牛奶也找不到,那么最后一招。漱漱口,把牙齿放回牙窝里,或者含在嘴里。虽然口腔环境不见得多干净(特别是患有牙周炎的口腔),但是总比暴露在空气中强。

:到了医院,我掉了的牙命运怎么样?

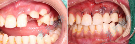
我们会安排将脱落的牙再植回去!看看图,大家会明白一些。

 

病例一:上门牙外伤,牙齿脱落;再植治疗3个月后,恢复良好。

 

病例二:外伤导致上牙槽骨骨折,而且上下两颗门牙脱位;通过治疗,上下两颗门牙均恢复原来位置,而且和之前一样结实。

 

病例三:牙齿嵌入牙槽骨,松动明显,经过治疗,稳定了,也恢复了外形。

 

病例四:右侧前牙牙齿嵌入牙槽骨,无法咬合,治疗后,恢复功能和外形。

 

病例五:牙齿嵌入牙槽骨,牙龈撕裂,治疗后,恢复了自信和美丽的笑容。

 

最后也是最重要的,牙外伤、牙脱落要赶紧到专业的口腔医院寻求专业援助,速度要快,再啰嗦一遍,脱位牙离体时间越短,再植后成功机会也就越大。

 

  延伸阅读:

罗亮,硕士研究生,主治医师,中共党员,毕业于贵州医科大学2015年至今从事口腔牙周黏膜疾病,贵州省口腔医学会口腔黏膜病及中西医委员会委员。主持青年人才成长项目1项,科学技术基金项目1项,院级科研基金项目1项,临床新技术项目1项,发表论文3篇,其中核心论文2篇。2017年4月-5月于台湾辅英科技大学交流学习,2020年-2021年于四川大学华西口腔医院牙周病科进修。

主要从事口腔黏膜病、牙体牙髓病、牙周病等疾病的诊疗:  

1、口腔黏膜病和牙体牙髓病的诊断和治疗;擅长对复发性口腔溃疡、口腔扁平苔藓、灼口综合症、口腔黏膜感染性疾病、过敏性口炎等口腔黏膜疾病的诊治,熟悉各种类型的牙体、牙髓及根尖周病的诊疗。

2、各型牙周疾病的诊断和治疗;擅长规范化牙周基础治疗、牙周-牙髓联合治疗、正畸及修复患者的牙周治疗、系统性疾病患者的牙周治疗和各型牙周手术(包括牙龈瘤切除术、牙龈成形术、种植体周围炎、牙半切除术、截根术、松牙固定术、根尖囊肿切除术、拔牙位点保存术、牙周组织再生术、牙冠延长术、牙周辅助加速成骨正畸治疗(PA0O)、牙再植术、前庭沟加深术、游离龈移植术、结缔组织移植等膜龈手术)。

 

牙周黏膜科简介:

91直播 牙周黏膜科是我省重要的牙周病和口腔黏膜病诊疗及研究基地,科室技术力量雄厚,现有医师16名,其中,知名专家1人,主治医师6人,博士学历4人,研究生学历12人;护理人员7名(主管护师1名、护师4名、护士2名)。担任中华口腔医学会口腔黏膜病专委会常务委员1人,贵州省口腔医学会口腔黏膜病及中西医结合专委会主任委员1人,贵州省口腔医学会牙周病专委会副主任委员1人。科室近年先后主持国家自然科学基金项目2项及省部市科研课题多项,拥有硕士生导师1名,每年培养硕士研究生3-4名。

诊疗范围:

1、表现为牙龈出血、口臭症、牙松动、咬合无力的各类型的牙龈疾病、牙周炎、牙周牙髓联合病变,包括全身疾病的牙周病变等的诊治。

2、各型口腔黏膜疾病诊治,包括口腔扁平苔藓、口腔白斑病、各类口腔溃疡、口腔黏膜特殊感染、口腔黏膜大疱类疾病、灼口综合征、唇舌疾病,涉及全身疾病的口腔表征、伴有口腔黏膜损害的皮肤黏膜疾病、口腔黏膜癌前病变的诊断及治疗。

3、配合修复及正畸治疗开展的各种牙周手术(如牙冠延长术、牙龈成形术、骨皮质切开术加速正畸牙移动等)。拔牙后的位点保存、牙种植术及种植体周围炎的防治。