每当牙齿不舒服
口腔医生总会要求你去“拍片子”
你的反应一般是 ↓↓
天哪
看个牙居然还要拍片
其实,医生针对临床症状只能做初步诊断,影像学检查对于减少误诊的发生以及准确判断病情的轻重程度非常重要。口腔放射科就是主要承担口腔颌面影像诊断临床医疗、教学和科研工作的科室,是口腔医院必不可少的组成部分。
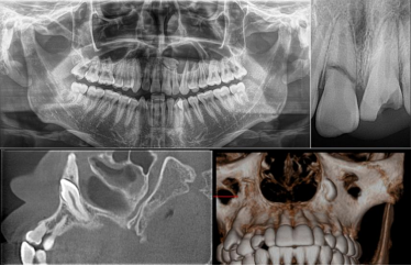
在牙体治疗中,影像学检查常用的是:X线片(根尖片,曲面体层片)、锥形束计算机断层扫描(CBCT)。通过X线片我们可以明确患牙、病变位置和范围,了解牙根及根管的数量、位置、大小和形态,评价根管治疗的质量及疗效。
通过CBCT我们可以更早期的检测根尖周病变的真实大小、范围、性质、位置及颌骨的骨质变化,更准确的评估根折、根管解剖结构以及颌骨的病变。

从以上可以知道除了口腔内可以看到的那一部分,牙齿及颌骨里面出了问题,肉眼是无法观察到的。口腔医生不长透视眼,当然不能透过表面看到本质喽。因此,为了对颌骨及牙齿进行全面的了解,拍个X光片还是很有必要的。
X片辐射对人体的危害有多大呢?
其实生活在自然界中,我们每时每刻都处在辐射中。根据资料显示,坐飞机四千公里左右,受到的辐射大约等于40μSv,大家可以跟辅助口腔诊疗的拍片辐射对比一下哦~
拍摄种类 |
剂量 |
牙片 |
约为5微西弗( μSv ) 每天接受来自自然环境的背景辐射,大约等于2张牙片 |
曲面断层 |
约为6.3微西弗( μSv ) |
头颅正侧位 |
约为35微西弗( μSv ) |
CBCT |
约为13-82微西弗( μSv ) 平均40μSv |
公众年剂量限制(GB18871) |
1毫西弗( mSV ) 1毫西弗=1000微西弗,相当于乘飞机绕地球2.5圈受到的辐射。 |
已知可增加癌症风险的一年内受到最低剂量 |
100毫西弗( mSV ) 相当于乘飞机绕地球250圈受到的辐射 |
孕妇可以拍牙片吗?
在某些牙科治疗的紧急状况下,孕妇可能不得不在宝宝出生前拍牙片。未经治疗的牙科感染会构成胎儿的潜在威胁。虽然牙科X线机所带来的辐射极低,但怀孕期间还是要尽量避免拍摄牙片,如果必须要拍牙片,一定要了解潜在风险,签署《知情同意书》等,并小心谨慎应对,如在拍片过程中在腹部围上铅制的防护围裙。
由此可知,在正规的防护用品穿戴下,对于口腔放射,我们大可不必谈“辐”色变!

来 源:影像科
作 者:牟恩波
编辑排版:姜文文
审 核:张军梅 董强 郑慧颖 刘珀羽