2021年暑假已至,如果您有矫正需求和意向,请提前计划。从检查到开始矫正,一般周期至少需要3周,平均矫治疗程需要2-3年。

第一次与医生见面,医生检查后会告知对您的初步诊断及矫治费用,征得同意后需要收集资料(模型、相片、X线影像及查血):
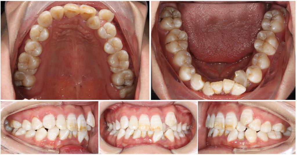
1. 牙齿模型:正畸模型是患者牙、牙弓、牙槽等形态及上下颌牙关系的精确复制。

2. 口内像及面部相片:用照片的形式直观记录矫治前、中、后各个阶段面部及牙状态是正畸检查诊断的重要一环。


3. X影像:辅助医师了解牙颌、颅面软硬组织的结构,使对牙颌、颅面的检查、诊断由表面形态深入到内部的骨骼结构中去。

4. 血常规:可了解患者的全身健康状况,筛查并排除血液系统疾病。对于某些特殊病人在治疗时采取相应的措施,减少危险出现的可能性。

大约1-2周后进行复诊,制定矫治方案,在知情同意并签署矫正协议后就可以装配矫治器,开始矫正了。如果您要求做隐形矫治,则需要进行口腔扫描,等待设计方案发布以后确定矫治计划。

在暑假进行矫正资料的收集及制定矫治计划,孩子的时间充裕,使矫治对孩子的影响减至最小。因此暑期是矫正牙齿的黄金时期,您准备好了吗?
通讯地址:贵州省贵阳市云岩区北京路9号
咨询科室:口腔正畸科
咨询电话:0851-88549465
来源:口腔正畸科
作者:樊佳兵 黎敏
编辑 排版:姜文文
审核:张军梅 徐卫华 郑慧颖