91直播

您当前所在位置: 91直播 > 专题专栏 > 健康科普 > 口腔健康科普 > 正文

【“齿”道匠心 科普先锋】美齿改变,从规范化开始

日期:2024-03-28       作者:蓝熙、熊思永、谭雯珈       来源:口腔修复种植科       编辑:宣传科 唐玲

什么是美?美的定义就像一千个人心中有一千个哈姆雷特一样,每个人对它的理解都不一样。今天我们就好好说说关于“口腔美”的那些事。

在修复专业上,我们常常将涉及到患者美观的牙齿区域(更多指上颌尖牙之间的6颗牙齿区域)称为美学区,所有关乎口腔治疗中美容的范畴,我们称为口腔美学。口腔美学治疗不是某个学科就能完全覆盖、彻底解决的,这其中还涵盖了口腔颌面部重建修复、牙体牙周、正畸、口腔修复、种植、颞下颌关节等各个专业。

下面是口腔美学问题治疗步骤,我们一起去了解一下吧。

首先得获取完整的术前资料,包括患者颌面部、口腔内部、牙列的图像,X线片、曲面体层、CT等影像资料,当然还有不能缺少的病史、全身及局部检查情况。

第二是设计尽量完善的治疗方案,口腔美学不是以快速为目的,应该是一个系统化、严格化的多学科、多专业交叉有序的过程。

第三是专业化操作,一是器械的专业化,另一个是操作技术的专业化。当然专业化的后期维护和建议,也是非常重要的。每一步都不能少且都必须严谨。

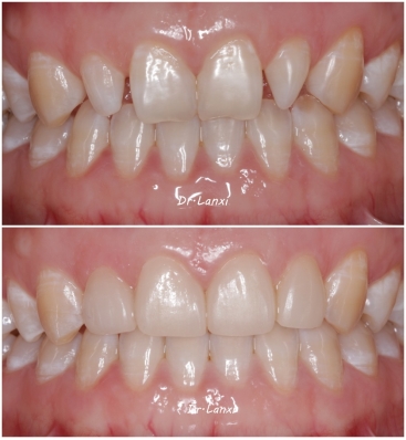
虽然你我心中的美没有统一答案,但是你对美的要求有多高,我们就会有多努力。最后,附上我们团队的一些病例图。

病例1

病例2

病例3

病例4

病例5

病例6