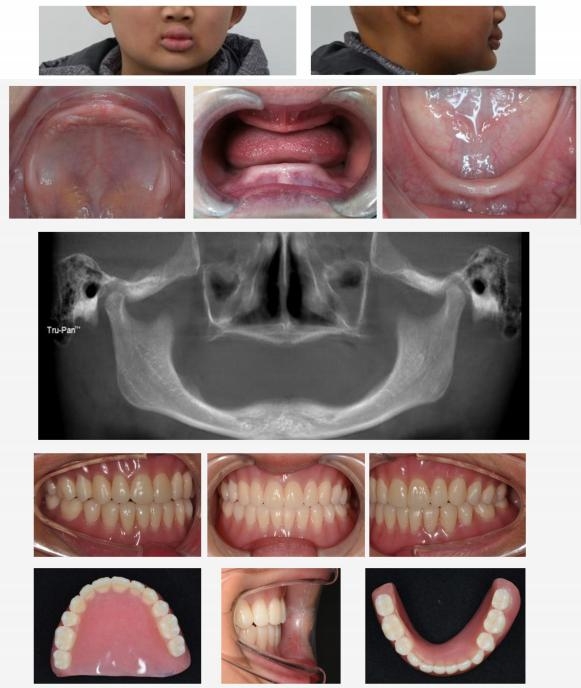
外胚层发育不良综合征(Ectodermal Dysplasia,ED)是一种先天性遗传病,发病率约为 1/100000,男性多发于女性,主要表现为少汗或无汗、毛发稀疏、牙齿发育不全三联征。
ED儿童通常在婴幼儿时期因汗腺发育不全而导致反复发烧,在牙发育期间,因牙胚部分甚至全部缺失而导致乳、恒牙无法萌出,使得面下部咀嚼功能受阻而导致发育不足,呈“瘪嘴 ”苍老面容,如头发稀少、卷曲,眉毛、睫毛稀缺,皮肤干燥,口周皮肤色素较深,上下唇呈外翻状。在影像学上呈现双侧颞下颌关节腔增大,牙胚缺失及牙槽骨、颌骨高度不足。


面容特征
ED儿童早期修复治疗可以尽早改善发音、提高咀嚼效能,从而促进其颌骨及颜面部发育,利于美观和心理健康。修复最佳时机为四岁以上,患儿可自主配合口腔修复治疗,并且有自主佩戴义齿的能力,修复后能配合发音及咀嚼练习,家长能督促与指导。
由于低龄患儿牙弓较小,牙槽嵴条件较差,因此区别于常规义齿修复,需针对不同患儿,选用减数减径排牙、个性化自凝雕刻排牙、个性化热凝雕刻排牙等方式改良修复。
“8020 ”是世界卫生组织对牙齿健康的标准,即80岁的老人至少应有 20 颗功能牙。但对于小小年纪就缺失牙齿这样的特殊群体,大家要提高认识,通过早期修复让其重建功能上的薄弱,帮助他们重拾信心和笑容。